Society for Endocrinology - a world-leading authority on hormones


Endocrinologist 123 Cover-1.jpg
Issue 123 Spring 2017

Endocrinologist > Spring 2017 > Hot topics


PLIN2 and endoplasmic reticulum stress resolution in pancreatic β-cells

| Hot topics



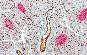
Pancreas showing multiple islets of Langerhans containing b-cells stained immunohistochemically for insulin (red) with ducts stained for cytokeratin (brown). Credit: Shutterstock

Pancreas showing multiple islets of Langerhans containing b-cells stained immunohistochemically for insulin (red) with ducts stained for cytokeratin (brown). Credit: Shutterstock

A common feature of type 2 diabetes is increased plasma levels of non-esterified fatty acids, which are usually stored in cells as triglycerides and lipid droplets. Perilipin 2 (PLIN2) is a lipid droplet protein that is constitutively expressed in all cells. Its expression has been shown to be increased in pancreatic β-cells exposed to fatty acids. It is also known that prolonged exposure to fatty acids leads to endoplasmic reticulum (ER) stress-induced apoptosis in β-cells.

Chen et al. therefore sought to determine whether PLIN2 plays a role in modulating ER stress in β-cells of Akita mice, which display severe ER stress and diabetes. They found that PLIN2 regulates ER stress in the β-cells of these mice and that loss of PLIN2 confers protection from diabetes by improving glycaemia and partially preserving β-cell mass by alleviating ER stress-induced apoptosis. This was achieved through modulation of autophagic flux, resulting in increased basal autophagy in β-cells of Akita mice. This study has, therefore, shed light on a previously under-appreciated role for PLIN2 in pancreatic β-cells.

Read the full article in Scientific Reports 7 40855




The Endocrinologist

...

Autumn 25

Autumn 2025